あなたの笑顔のために。
矯正歯科
きれいな歯並びは人生の宝物です
より良い成長発育、全身の健康を促進し、自身を持って笑える美しい口元へ
月一日程度 要事前予約
どうして矯正が必要なの?
正しくない歯ならびやかみ合わせのことを「不正咬合(ふせいこうごう)」と言います。
不正咬合は見た目の問題だけでなく、虫歯や歯周病になりやすくなる、
顔の成長の妨げになるなどの不都合が生じます。
矯正をすることで、歯みがきがしやすくなり虫歯や歯周病を防ぎやすくなるだけでなく、
発音しやすくなる・口呼吸を改善する・よく噛めて消化が良くなるなど
全身の健康促進にもつながります。
当院では、月に一日程度矯正医が在院し、矯正治療を行います。

治療開始までの流れ
-
初診相談
歯並びのどこが気になるか、どのようにしたいか、治療するにあたり不安に思う事などをお聞きします。
歯並びの状態を審査してご希望に合った治療法、費用についてご説明します。
■相談料:無料〈治療をスタートしたい場合やもっと詳しく現在の歯並びの状態、治療法、費用などを知りたい場合は次に検査を行います〉
-
検査
上下の歯型、レントゲン3枚、お口の中のお写真をとります。
それをもとに診断書類を作成し、1ヶ月後に診断を行います。
■検査と診断料 合わせて30,000円[税別]
-
診断
診断書類をもとに初診相談時よりも詳しく、現状の歯並びについてご説明します。
その他、治療方針や使用する装置、期間、費用、注意事項などについて詳しくご説明します。 -
治療開始
診断内容に同意いただけるようでしたら治療スタートになります。
■治療スタート以降は毎回来院時に処置料3,000円[税別]
矯正医のご紹介
佐久間 慎
神奈川県横浜市長津田矯正歯科クリニック勤務
当院では、通常のワイヤーを使った矯正のほか、
マウスピース型の矯正器具(成人向け・小児向け)を使った矯正法も行っています。
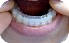
成人用マウスピース型矯正装置
アソアライナー
透明で目立たず、取り外しのできるマウスピース型の矯正装置です。
透明な矯正装置 アソアライナーとは?
オーダーメイド
専門のコンピューターを使い、歯の移動量や 回転速度を精密に計測してオーダーメイドの マウスピース型矯正器具を制作します
取り外しが可能
取り外しが可能なので食事の妨げにならず、 清潔性を保ちやすいなどメリットがあります
透明なマウスピース
透明で目立たないため、矯正治療を していることに気がつかれません
メリット
透明で目立たない
透明で薄いプラスチックのシートを使用するため、非常に目立ちません。
違和感が少ない
発音障害、異物感等が非常に少ないです。
精密な装置で確実な治療
各ステップごとに印象採得し、1ステップ0.1mmでのセットアップが可能であるため、それぞれの症状に合わせた、より確実な治療が可能になります。
清潔性が高い
装置を取り外してブラッシングが可能なため、清掃性が非常に良いです。
併用が可能
ブラケットやその他の矯正装置との併用が可能です
強さをコントロールでき痛みが少ない
ソフト、ミディアム、ハードの3種類のシートを用いて矯正力をコントロールできるため、疼痛も軽減できます。
虫歯の治療と同時に進行できる
毎回型を取りマウスピースを制作するので、矯正治療中でも虫歯の治療が可能です。
マウスピース治療が合わないケース
- 歯並びが大きくデコボコしたり重なったりしている場合
- 4mm以上大きく隙間があいている場合
上記のように、従来の矯正を併用した方がスムーズに治療できる場合があります。
カウンセリングにてご自身に合う矯正方法を提案させていただきます。
カウンセリングは無料ですのでお気軽にご相談ください。
症例
ご注意
- 就寝時も含め1日17時間は装着してください。
- アソアライナーは装置を付けている時のみ矯正力がかかるため、患者様の全面的な協力が必要です。
- 1日17時間以上使用できない場合は歯が目的の位置まで移動しないため、治療期間が延長したり、良い結果が得られない場合があります。
- 食事の際は取り外してください。
- ご自身での管理が治療期間や治療結果に影響する矯正装置です。
子ども歯ならび矯正法
プレオルソ
小児の骨が柔らかい時期にこそ 大きな効果が期待できる矯正法です。
マウスピース式の子ども歯ならび矯正法「プレオルソ」とは?
お子様への負担が少なく、費用的にも一般の矯正よりも始めやすいのが特徴です。
顎の成長を促し、歯ならびだけでなく口呼吸の改善、また将来の成人矯正の回避も期待できるなど多くのメリットがあります。
マウスピース式装置
「プレオルソ」
マウスピース式装置
やわらかく装着感がよい
こどもが一番嫌がる堅いレジン(プラスティクの様なもの)でなく、ポリウレタンの柔らかい素材でできており、装着感が非常に良いので装置を嫌がらずに使うことができます。
お子様の負担になる「歯型」を取る必要がない
こどもにとって歯型を取る(粘土みたいなものをお口の中に入れる)ことは非常に高いハードルです。 プレオルソマウスピースは既製品ですので歯型を取る必要がありません。
お湯で簡単に調整できる
従来の矯正装置は調整が非常に煩雑で嫌な臭いがしましたが、プレオルソマウスピースは、熱可塑性(熱を加えることで自由に調整できる)の素材でできており、お湯を使った簡単な調整をする事により顎を広げたり、個々の口腔内に合わせることができます。
特徴
骨の柔らかい時期に始めると効果が高い
永久歯に生え変わってからでは、全ての歯にギラギラした装置をつけるいわゆる「本格矯正」になりますが、この治療法であれば小児(6才~10才)の骨の軟らかい時期に使うことで、非常に大きな効果が期待できます。
やわらかくて取り外しができる
固定式の装置は、違和感や痛みが強いですが、マウスピース式は、それがほとんどありません。装着時間は就寝時と家にいる時のみで十分です。また、食事の時に装置をはずせるので、虫歯の心配がありません。
予算的に一般の矯正よりも始めやすい
この治療法のために開発した新素材のマウスピースを使用するので、個々の口腔内への調整がしやすく、治療効率が良いためです。
口呼吸から鼻呼吸へ
「プレオルソ」は「咬み合わせ」と「歯ならび」を改善すると同時に機能的な側面「口呼吸から鼻呼吸へ」が非常に重要と考えています。マウスピースを使うこの治療法は子どもの成長発育にとても大切です。
装着するのは「日中1時間」と「寝る時」だけ
家に帰ってから起きている間に「1時間」と「寝る時」に使います。学校に持っていく必要はありません。
こんな歯ならびのお子様に
出っ歯
上の歯が出ている
凸凹でこぼこ
4人がけの椅子に6人座っている状態
受け口
下の歯が出ている
ご注意
- 適応年齢や適応症例があります。すべての方に適応可能とは限りませんのでカウンセリング(無料)でご相談ください。
また、適応でも、歯列改善のみで、永久歯が生えそろってからの本格矯正の前の予防矯正として使用する場合もあります。 - 慣れないうちは違和感、多少の痛みがある場合もあります。
- 取り外し可能ですのでお子様本人の協力が必須です。
基本料金
※矯正基本料金とは毎回来院時にお支払いいただく処置料(3,000円)とは別に歯並びを治すにあたってのパック料金です。
- 乳歯列期矯正(3~6歳頃)
約150,000円位(プレオルソのみの場合、150,000円です) - 第一段階治療[子供の矯正]
(6~10歳頃)約220,000~400,000円位
(プレオルソを使用する事があります
プレオルソのみの場合、150,000円です) - 第一段階後期治療(10~13歳頃)
220,000~400,000円位 - ワイヤーによる全体矯正
約700,000円位 - ワイヤー、又はワイヤーとマウスピース
(アソアライナー)による部分矯正
約200,000~600,000円位 - マウスピース矯正(アソアライナー)
装置代1回分につき60,000円
料金は税別です
マウスピース矯正単独の場合、基本料金ではなく、装置装着時に装置代をお支払いいただきます。装置代に管理料を含みます。
前歯だけの部分矯正に限りますが、2.0mm程の移動であれば装置代総額180,000円以内で治療可能です。350,000円程度で治療を終えられる方がほとんどです。
(同じ装置でも歯並びにより費用が異なることがあります)
動的治療期間 半年~1年半位

